セラミックは、色も硬さも
本物の歯に近いんです
セラミックは陶器に似た素材です。とても頑丈な強度を持つうえに、本来の歯に限りなく近い透明感のある白さを実現できます。
その特長から、「歯が欠けた」「歯がなくなった」というお悩みを、セラミックで丸ごと解決することができます。
例えば、歯の根っこから天然歯を再現するインプラント治療でも、基本的にはセラミックが上部構造に使用されます。
そのほかにも、虫歯治療で削った箇所を補うためにセラミックを使用する治療が一般的です。
当院には専属の歯科技工所があり、ベテランの技工士たちが最新の技術を利用して、詰め物や被せ物、上部構造などを作製しています。
患者様それぞれの生活習慣、噛み合わせ、お口の中の状況など様々な環境を鑑みて、一人一人に適した最高の一品を常に目標としています。
各種セラミックの費用
- ・セラミック治療は自費診療です。クレジットカード決済に対応しております。
- ・デンタルローンも用意しております。【固定金利3.9%・最大分割84回払い・繰り上げ返済可能】
- ・すべて税込価格での表記です。
- ・2021年5月現在の診療内容・価格になります。
セラミックの種類について
セラミックには多くの種類があります。
審美性と強度の違いがありますので、ご興味のある方・吟味されたい方はぜひ無料相談にてスタッフにお尋ねください。
ジルコニア(スーパーハイトランス)
ジルコニアは人工ダイヤモンドとも呼ばれる素材で、強度と耐久性に優れています。審美性ではオールセラミックに劣るので、奥歯によく使われます。
目黒駅前セントラル歯科で使用しているスーパーハイトランスという種類は、一般的なジルコニアに比べより落ち着いた透明感・自然感があります。
オールセラミック(e-max)
100%セラミックのみで作る被せ物・詰め物です。強度ではジルコニアに劣りますが、天然歯に近い透明性を持つものもあり高い審美性を誇ります。前歯などによく使われます。
目黒駅前セントラル歯科で使用しているe-maxという種類は、より耐久性を高め身体への負荷を減らしたものになります。
ジルコニアボンド
チタンに似た性質を持ち、高い硬度があります。
そのため人口ダイヤモンドにも使用されることのあるセラミック素材です。
透明感のあるセラミックでさらに調色します。
セラミック治療のメリット
-
1.目立たない
保険診療の対象となるレジン(プラスチック)素材と違い、セラミックには天然歯のような透明感・ツヤがあります。そのため、前歯などに入れても自然でほとんど目立ちません。
-
2.劣化・変色しにくい
セラミックには、経年劣化しにくく変色もほとんど見られず、長く使い続けることができるものもあります。また、銀歯に比べて被せ物や詰め物をした歯がもう一度虫歯になることも少なくなります。
-
3.傷に強く汚れがつきにくい
銀歯は表面に細かな傷や汚れが付きやく、お口の臭いの原因にもなります。セラミックは硬く傷がつきにくい素材ですので、銀歯のような汚れが付着しにくくなります。
-
4.金属アレルギーがなく体に優しい
銀歯だと金属アレルギーになるリスクがありますが、セラミックでしたらその心配はございません。溶け出した金属が歯茎に沈着し黒ずんでしまう(ブラックライン)こともありません。
-
5.精度が高く虫歯になりにくい
セラミックは患者様の歯のデータをコンピュータで読み取り作製しますので、より精度が高く歯にピッタリと合う補綴物が作れます。歯との間に隙間ができにくいため、虫歯にもなりにくくなります。
セラミック治療のデメリット
セラミックは高強度である反面、強い力がかかると割れやすいという性質があります。
そのため「奥歯には強度の高いセラミックを選ぶ」、「歯ぎしり防止のため就寝時はマウスピースを付ける」といった対策をとると安心です。
また、セラミック治療は自費診療となるため、銀歯やレジンに比べると費用が高額となります。
こんなお悩みを解決できます。※自費診療
-
虫歯をセラミック治療で治したい
【セラミック歯 1本~】
他の天然歯と色味・透明感を調節したセラミックで治療することが可能です。
-
前歯の形が気になる
【セラミック歯 2本】
すきっぱなど気になる場合は、ラミネートべニアと呼ばれる治療法で、ご自身の歯をあまり削る事なく、見た目を整えることが可能です。
-
費用を抑えてセラミックで歯列を整えたい
【セラミック歯 6本】
人の口の中で、一番見えやすい上顎6本をセラミック歯に交換する費用面でリーズナブルなご提案です。
-
芸能人のようなキレイな歯にしたい
【セラミック歯 12本】
お口の見える部分をすべてセラミックに交換する、一番症例の多いセラミック矯正方法です。
-
トータルコーディネートをお願いしたい。
【セラミック歯 全歯】
審美歯科のプロにお任せいただき、かみ合わせまでも考えた、フルプランです。あごのズレまでも矯正が可能です。
-
歯並びの改善には
マウスピースによる歯列矯正も可能です。
【インビザライン】
目立ちにくいマウスピース矯正がおすすめです。
セラミック人工歯へのこだわり
専属の歯科技工所でオーダーメイド
当院のセラミックがハイクオリティでリーズナブルなのには理由があります。
一般的にはセラミック技工物を歯科技工所に外注しますが、当法人は院内歯科技工所を常設する数少ない歯科医院です。
そのため非常に精度が高く、審美性の高いセラミックを費用を抑えてご提供することが可能です。
当院専属のセラミック治療専門のベテラン歯科技工士による立ち会いを行い、連携を取りながら患者様のご要望に応えます。
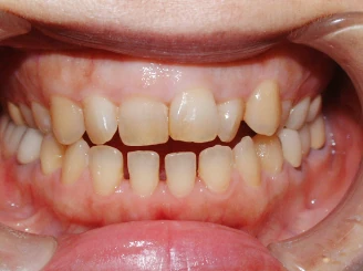
セラミック矯正 症例写真

※術前

※術後
施術の価格:1本165,000円(税込)※写真の症例の場合12本
施術の説明:セラミック治療は形の悪い差し歯、被せ物を治したり、部分的な歯並びの矯正を行うことができる治療です。
短期間で歯並びの改善まで実現することが可能です。
施術の副作用(リスク):疼痛・咬合時痛・冷水痛・抜歯を伴う場合は腫脹や出血などを生じる事があります。
麻酔を行う場合、術後数日間は腫れやむくみを生じる事があります。
セラミック・仮歯が欠けたり、外れる事があります。
神経の治療や抜歯が必要な場合があります。また、歯並びが変わる事により違和感を生じる事があります。
※その他、症例により仮歯やコアポストなどの費用が別途かかります。【要見積り】
人工歯で作るかみ合わせ【オプション】
施術の価格:33,000円(税込)※臼歯の治療を行う場合のみ適用
施術の説明:臼歯をセラミック人工歯で治療する場合、患者様に合った噛み合わせを、シーラ測定システムという、
特殊な測定方法により、患者様に適したかみ合わせを導き出し、セラミック人工歯にて噛み合わせを作ります。
施術の副作用(リスク):通常生活にて問題のない健康な歯を咬み合わせを作る目的で、事前説明の上、セラミック人工歯にて治療する場合がございます。
目黒駅前セントラル歯科の治療内容
-
-
-
-
-
-
歯の事ならお任せください!!
虫歯・歯周病などの保険診療から、インプラント、矯正歯科、審美歯科と多岐にわたる分野まで、包括的に診療しています。


